Van’da implant vidası hastanın ciğerine kaçtı: Ölümden döndü

Van’ın İpekyolu ilçesinde şaşkınlık yaratan olay…
F.T. isimli hasta, dış merkezli bir diş kliniğinde implant tedavisi gördüğü sırada, implant vidası ezkaza soluk borusuna kaçtı.
Nefes borusuna kaçan vida nedeniyle hasta, ileri tetkik ve tedavi amacıyla Van Eğitim ve Araştırma Hastanesi’ne sevk edildi.
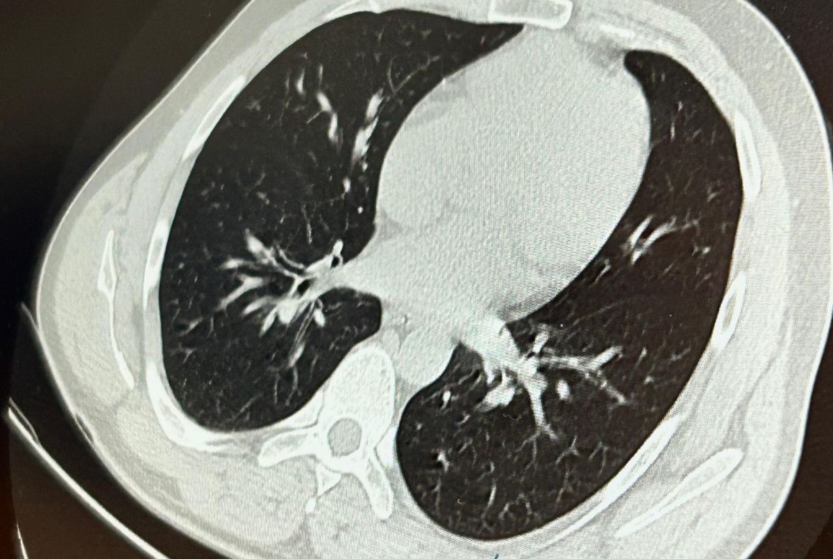
SOL AKCİĞERİN ÜST LOBUNA SAPLANDIĞI TESPİT EDİLDİ
Hastaya bronkoskopi süreci uygulandı.
Sol akciğerin üst lobunda saplanmış formda tespit edilen vida, vidalı yapısı ve bulunduğu pozisyon nedeniyle zahmetle yerinden oynatılabildi.

DOĞAL YOLLARLA BEDENDEN ATILDI
Yapılan uzun ve titiz müdahale sonrası vida yerinden çıkarılamasa da hasta bir mühlet sonra geçirdiği öksürükle birlikte implant vidasını midesine gönderdi.
Vida, daha sonra doğal yollarla bedenden atıldı.

“İLK DENEMEDE BÜSBÜTÜN ÇIKARILAMADI”
Konuya ait konuşan Göğüs Cerrahi Op. Dr. Sadullah Aksoy, bir diş merkezinde diş tedavisi sırasında hastanın çenesine yerleştirilen implantın vida kısmının süreç esnasında kazara aspire edildiğini belirtti.
İlk olarak hastanenin ek hizmet binasında çekilen tomografi sonucunda, vidanın sol akciğerin hava yollarının yaklaşık dördüncü koluna kadar ilerlediği tespit edildiğini söz eden Op. Dr. Aksoy, şunları kaydetti:
Geçtiğimiz cumartesi günü öğlen saatlerinde tarafımıza ulaşıldığında, hastanın Van Eğitim ve Araştırma Hastanesi’ne yönlendirilmesini istedik. Burada acil bronkoskopi planı yapılarak hasta kabul edildi. Hasta geldiğinde genel durumu yeterliydi; teneffüsünü büsbütün engelleyen bir bronş tıkanıklığı kelam konusu değildi.
Aynı gün hastamızı hazırladık. Bronkoskopi sırasında, implant vidasının sol üst lobun anterior segment bronşuna saplanmış konumda olduğunu gördük. Üroloji kısmında taş çıkarma süreçlerinde kullanılan aygıtla müdahale ettik.
İlk denemede implant büsbütün çıkarılamadı lakin yerinden oynatılabildi. Bunun üzerine bir mühlet bekleyip hastayı yine bronkoskopi için hazırlamaya başladık. Süreç yaklaşık 3,5-4 saat sürdü ve saat 18.30 civarında hasta süreçten çıkarıldı.

“ÖKSÜRÜK SONRASI AKCİĞERDEN ÇIKTI”
Daha sonra hasta için tekrar bronkoskopi planladıklarını lakin bu süreçte hasta şiddetli bir öksürük geçirdiğini anlatan Aksoy, “Şiddetli öksürük sonrası yapılan denetim akciğer sinemasında implant vidası görünmedi.
Bunun üzerine toraks ve batın BT (bilgisayarlı tomografi) görüntülemesi istedik. Sonuçlarda implantın akciğerden çıktığı ve bedende rastgele bir yerde bulunmadığı tespit edildi” diye konuştu.




